無症候性脳梗塞とは
脳梗塞とは脳の血管が詰まって脳組織の一部が死んでしまう状態のことをいいます。
必ずしも脳梗塞になったからといって症状が出るわけではなく、とくに小さい脳梗塞(ラクナ梗塞)では、症状がないこともあります。
症状のない脳梗塞のことを無症候性脳梗塞といいます。
巷ではこれを「隠れ脳梗塞」と言っているようです。
無症候性脳梗塞があるひとは (Rotterdam Scan Study)
・脳卒中を発症するリスクは約4倍
・認知症を発症するリスクは約2倍以上
無症候性脳梗塞の原因
1. 血圧(最大の因子) ~ 積極的な血圧管理
2. メタボリックシンドローム ~ 生活習慣病の管理(糖尿病・高脂血症の管理、適度な運動)
3. 血清コレステロール高値 ~食事・運動で改善なければ内服加療
4. 飲酒と喫煙 ~ 禁煙・飲酒は1合程度、寝酒をしない
5. 慢性腎臓病 ~ 採血などで評価し、専門的な治療
6. ホモシステイン高値 ~ 葉酸・ビタミンB12の補給
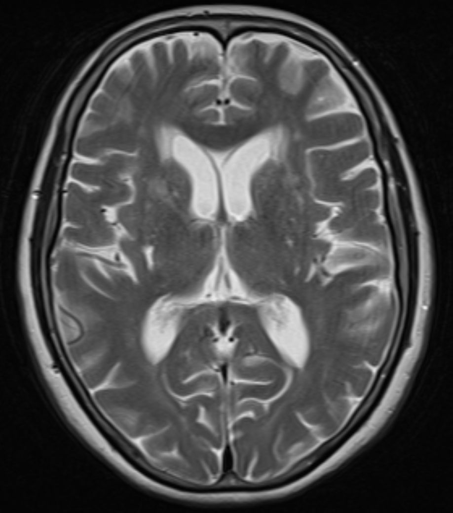
無症候性脳梗塞は赤丸
大脳白質病変は黄丸
無症候性脳梗塞も大脳白質病変も脳の虚血性変化ですが、
大脳白質病変と違うところは、加齢現象ではなく、これは「脳梗塞」であり、小さくても血管が詰まったということです。
見つかった場合は、積極的な血圧管理を行い、上記の原因の究明を行い適切な治療が必要です。抗血小板薬(血液サラサラの薬)を服用するか否かは、無症候性微小出血(micro bleeds)の有無などの確認を行い、出血のリスクを十分に考えて処方を考慮する必要です。
参考文献
脳卒中ガイドライン・脳ドックガイドライン
Visited 143 times, 3 visit(s) today




